近日,《自然》醫學期刊子刊自然生物技術《nature biotechnology》發表了一篇封裝干細胞衍生的β細胞對1型糖尿病患者發揮血糖控制作用的綜述。該綜述報告了一個研究組的1年中期結果,該研究組在具有優化膜穿孔模式的裝置中接受了高出2-3倍的細胞劑量。
封裝干細胞衍生的β細胞對1型糖尿病患者發揮血糖控制作用
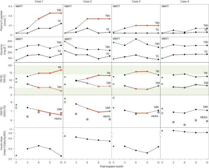
每隔3個月通過膳食刺激血漿C肽水平來測量β細胞功能,并通過連續血糖監測 (CGM) 和胰島素劑量來評估對血糖控制的影響。在基線C肽檢測不到的10位患者中,有3位從第6個月起達到了≥0.1nmoll-1的水平,這與CGM測量結果的改善和胰島素用量的減少相關,表明了葡萄糖控制效果。C肽最高的患者(0.23nmoll-1)在第12個月時,CGM時間范圍從55%增加到85%;在第6個月時,該患者哨點裝置中的β細胞質量是初始細胞質量的4%,這表明了提高療效的方向。

主要癥狀
1型糖尿病(T1D)患者胰腺中的β細胞耗竭,因此細胞無法根據代謝需要調節胰島素的供應。外源性胰島素可以替代胰島素儲備的損失,但不能替代細胞對胰島素合成和釋放的微調控制。胰島素用藥可減少大多數患者的高血糖發作,從而避免或延緩慢性并發癥的發生,但也有可能發生危及生命的低血糖事件,增加慢性病患者的生活負擔。從人類供體胰腺制備的胰島進行肝內移植的結果表明,β細胞替代治療T1D具有潛力。這種細胞療法可解決大多數受者的低血糖問題,從而大大提高他們的生活質量。此外,該療法可使血糖控制基本恢復正常,50%以上的患者在5年內不再需要外源性胰島素治療。由于供體細胞短缺以及需要持續的免疫抑制治療以防止移植物排斥反應,從而帶來了危及生命的并發癥風險,因此手術的實施受到了限制。
原則上,供體細胞的短缺和免疫抑制的要求都可以通過使用從人類多能干細胞(hPSCs)中提取的完全包裹的β細胞來解決。

臨床試驗驗證:封裝干細胞衍生的β細胞對1型糖尿病患者發揮血糖控制作用
在這里,我們描述了由10名T1D患者組成的研究組的1年隨訪情況,這些患者(1)接受的設備比之前的研究多兩倍到三倍,并且接受的設備的膜穿孔密度和模式是之前研究的與裝置中較高的細胞存活率和較高的血漿 C肽誘導相關。
10名接受者中的4名在第6個月時達到了可檢測血漿C肽的主要終點。這4名接受者中的3名達到了C肽≥0.1nmol l?1,并且在第6個月和第9個月時表現出血糖控制的改善,如連續顯示血糖監測 (CGM) 措施與減少外源性胰島素劑量一起進行。對從效果最好的患者(病例1)處回收的裝置中的細胞組成進行定量分析表明,第6個月時達到的β細胞量為初始細胞量的4%,并且其比例較低(占所有細胞的3%) )—比α 細胞群低五倍(占所有細胞的16%)。
結果
試驗設計概述
該試驗檢驗了皮下植入PEC-Direct對免疫抑制下T1D患者的療效,免疫抑制由抗胸腺細胞球蛋白誘導并由嗎替麥考酚酯和他克莫司維持。植入物由八個(案例1和6)或10個大型(劑量探索)和兩個或三個(案例 1)小型(用于分析的哨兵)單元組成,每個單元分別包含~75×106和~7×106PEC-01細胞(方法)。
在篩選時,10名患者表現出β細胞耗竭狀態,如混合膳食耐受測試 (MMTT) 基礎時和第90分鐘時血漿C肽水平低于檢測限 (LOD) (0.03 nmol l-1)。主要終點是第6個月時MMTT誘導的C肽增加至LOD以上。次要終點是C肽水平>0.07nmol l?1、CGM措施的改善以及隨訪1年內胰島素劑量的減少。通過聯合檢查C肽水平、CGM數據和胰島素劑量來評估植入物改善血糖控制的功能。
記錄治療中出現的不良事件(TEAE)。沒有一例導致退出研究,也沒有一例與方案中定義的特殊關注不良事件 (AESI) 相對應。最常見的TEAE是手術疼痛。兩名患者報告了治療中出現的嚴重不良事件 (TESAE),一名患者歸因于手術操作,另一名患者則歸因于方案指定的免疫抑制。
PEC-Direct接受者中膳食刺激的血漿C肽
在植入后第3個月,10名接受者中有5名表現出MMTT誘導的C肽水平高于LOD (0.05–0.07nmol l-1)(表1)。第6個月時,可檢測到的C肽在10名接受者中的4名中仍然存在,達到了主要療效終點,并且在更長的隨訪期間。這四名患者中的三名直到第12個月才達到C肽水平>0.07nmol l-1 (0.10–0.23 nmoll-1 )的次要終點(圖1)。在該反應組與植入時患者的特征之間沒有觀察到相關性。


在12個月內,對達到種植體功能主要功效終點(在基線以上第90分鐘時進行6個月MMTT刺激的C肽;表1)的患者進行血糖控制標記物的相關變化檢查。第一個(頂部)面板顯示了每隔3個月在基礎時間點(T0,第0分鐘)和MMTT刺激時間點(T90,第90分鐘)的血漿C肽水平;水平≤LOD用十字表示。病例 1、2和3達到了種植體功能的次要療效終點(血漿C肽 0.07nmoll-1),并維持到第12個月(紅線)。
這些MMTT點的血糖(第二幅圖)表示第90分鐘時的葡萄糖刺激狀態。第三幅圖和第四幅圖顯示了3個月間隔內源自CGM的血糖控制終點。TAR血糖(≥180mgdl?1)和TIR血糖(71–180mgdl?1)已被定義為目標血糖控制的核心終點(TIR>70%和TAR<25%,第三張圖中的陰影區域)。
達到種植體功能次要終點的三名接受者(病例1、2和3)在第6個月和第9個月改善了CGM措施以實現臨床目標,其中兩人也在第12個月(紅線),但沒有觀察到任何改善對于案例4,它沒有達到這個次要終點。病例1、2和3中血糖控制的改善還體現在CGM衍生的GMI(紅線,第四圖)的降低上,這比HbA1c水平(空心方塊)更準確地代表了平均血糖的變化。僅每隔3個月測量一次,并且受免疫抑制治療的影響。第五張圖顯示相應的胰島素劑量。它是植入前2-4周(第0個月,綠點)和植入后3個月內的平均值。植入前1-10天開始免疫抑制治療。不同的植入前條件以及方案開始后生活方式的變化使第3個月的劑量成為評估個體隨時間變化的適當參考。數據顯示,病例1、2和3(紅線)中血糖控制終點的改善與胰島素劑量的降低有關,這與在此期間代謝相關植入物功能的建立一致。對于病例4,沒有注意到胰島素劑量的相關變化。
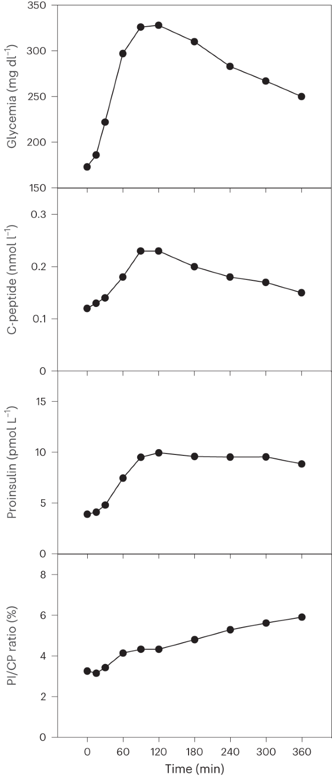
對于C肽分泌反應最佳的病例(病例1),MMTT誘導的C肽在第3個月和第9個月之間增加了三倍,然后保持穩定。盡管臨床方案并未計劃進行胰島素原分析,但我們利用該患者相對較高的移植功能來評估胰島素原釋放,作為進一步詢問干細胞衍生的β細胞功能狀態的一種手段。第12個月時,β細胞分泌活性不足以糾正360分鐘MMTT期間的高血糖狀態(圖2)。

干細胞生成的植入物的組成
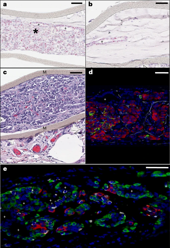
四個回收的哨兵裝置可用于分析其內室和緊鄰膜外的組織的成分。第6個月從病例1中取出了2個,從病例4中取出了2個,一個在第3個月,一個在第9個月。
案例1是一名女性受體,這允許通過 KDM5D 陽性細胞核識別男性供體細胞。兩個內室都包含主要由供體細胞組成的片段和主要包含嵌入受體來源的KDM5D陰性成纖維細胞的結締組織的其他片段(圖2)。兩種類型的節段都包含囊腫樣結構,其邊界是供體來源的上皮。供體來源的細胞群占內室細胞的32%,這是最初植入的細胞群存活率較低(開始時細胞群的35%)和受體細胞浸潤(代表兩倍以上的細胞)的結果(表2)。


討論
這里提出的結果表明,植入1型糖尿病患者體內的設備輸送的干細胞衍生細胞可以建立β細胞團,從而實現足夠的功能來改善血糖控制。他們支持進一步開發hPSC衍生的PEC作為β細胞替代療法和可回收裝置的使用。這項研究是使用ViaCyte的PEC-Direct組合候選產品進行的,該候選產品由裝在帶有穿孔膜的裝置中的PEC-01細胞組成,給予接受免疫抑制的患者。
本研究組的移植前刺激C肽水平低于0.03nmoll-1的LOD。PEC-Direct植入物在第6個月提高了10位受者中4位的基線水平,達到了主要療效終點,10位受者中有3位(病例1、2和3)達到了大于0.07nmol l-1的水平,并持續到第12個月,達到了植入物功能穩定的次要療效終點。這三個病例中的水平被認為與代謝相關。在病例2和3中,它們是β細胞低功能狀態的特征,而在病例1中,它們是中等功能狀態的特征。在檢測不到β細胞功能的患者中誘導這些C肽水平的臨床意義還體現在它們與有益的并發癥相關。
這項對具有不同殘余胰島素分泌水平的T1D患者進行的縱向和橫向分析發現,C肽水平與高血壓、HbA1c 和膽固醇以及微血管并發癥呈反向關系,這延續了之前的觀察結果。這種相關性尚未在植入胰島細胞的免疫抑制患者中得到證實。與臨床直接相關的是,根據最近推薦的糖尿病醫療護理措施,觀察到三名患者從第6個月起血糖控制有所改善。CGM數據顯示,血糖控制的核心終點明顯改善,接近或達到共識目標(TIR >70%和TAR<25%),同時使用的外源性胰島素劑量降低。C肽反應最高的病例(病例 1)的血糖控制效果最好(第12個月的TIR為85%)。
最近也有報道稱,兩名接受肝內干細胞衍生胰島制劑(VX-880)治療的患者控制了血糖并產生了胰島素,其中一名患者的胰島素獨立,空腹或MMTT刺激的C肽水平≥0.16nmoll-1。
由于納入研究試驗本身可能對結果產生積極和消極的影響,因此我們對個體患者進行了縱向分析。在沒有混雜因素的情況下,持續的C肽反應≥0.10nmol l-1與減少外源性胰島素劑量期間血糖控制的持續改善(病例1-3)相關,表明植入物中的β細胞質量發揮了血糖控制作用。
未表現出這種水平的β細胞功能的接受者(病例4-10)并未表現出血糖控制的改善以及較低的胰島素劑量。
在案例5中,進入試驗后觀察到更好的血糖控制,但這歸因于較高的胰島素劑量。
在案例8中,免疫抑制劑的副作用改變了生活方式,導致碳水化合物攝入量顯著減少,從而降低了血糖,而與植入物無關。總體而言,數據表明,當達到并維持C肽水平≥0.10nmol l-1時,血糖控制效果明顯,僅納入試驗不足以在較低胰島素劑量下實現更好的血糖控制。
總之,本報告展示了干細胞移植治療1型糖尿病患者發揮血糖控制的可行性。
參考資料:Keymeulen, B., De Groot, K., Jacobs-Tulleneers-Thevissen, D. et al. Encapsulated stem cell–derived β cells exert glucose control in patients with type 1 diabetes. Nat Biotechnol (2023). https://doi.org/10.1038/s41587-023-02055-5
免責說明:本文僅用于傳播科普知識,分享行業觀點,不構成任何臨床診斷建議!杭吉干細胞所發布的信息不能替代醫生或藥劑師的專業建議。如有版權等疑問,請隨時聯系我。
掃碼添加官方微信